Click Here to Schedule an Appointment

What Are All-On-4 Dental Implants And Who Are They Best For?

FullJawDentalProsthesisInPeopleWithNoTeethDental

As an experienced dentist at Northwest Dental Group in Arlington Heights, I often meet patients who are tired of struggling with dentures or multiple missing teeth and want a more permanent, natural-looking solution. One of the most effective and life-changing treatments I offer is the All-On-4 dental implant system. This innovative technique allows a full arch of teeth to be securely supported by just four dental implants. For many, it provides the stability, confidence, and function that traditional dentures cannot match.

All-On-4 dental implants are designed for patients who have lost most or all of their upper or lower teeth and want a fixed replacement that feels and looks like natural teeth. Unlike traditional dentures, which rest on the gums and can slip while eating or speaking, All-On-4 implants are permanently anchored into the jawbone. This system restores both function and appearance, enabling patients to eat comfortably, smile confidently, and maintain their proper facial structure over time.

Understanding All-On-4 Dental Implants

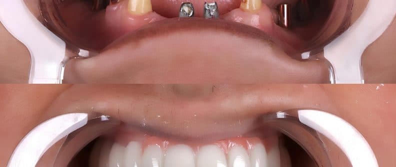
All-On-4 implants use four strategically placed titanium posts inserted into the jawbone to support a full set of artificial teeth. These implants act as artificial tooth roots, providing a strong and stable foundation for a permanent denture. The back implants are typically angled to maximize bone contact, which allows for placement even in patients with limited bone density.

For many individuals, this method eliminates the need for bone grafting, a procedure often required with traditional implants. Once the implants are placed, a temporary set of teeth can often be attached the same day, allowing patients to leave the office with a full smile. After a healing period of several months—during which the implants integrate with the bone—the final custom prosthetic is attached for a long-lasting result.

Who Is A Good Candidate For All-On-4 Implants

All-On-4 implants are ideal for patients who:

  • Have lost most or all of their teeth in one or both arches
  • Struggle with loose, uncomfortable dentures
  • Have moderate bone loss, but still enough to support implants
  • Want a long-term solution that looks and feels natural

Age is rarely a limiting factor. The primary considerations are overall health, bone quality, and commitment to maintaining proper oral hygiene. During a consultation, I evaluate bone density using advanced 3D imaging and review the medical history to determine if this option is suitable.

Benefits Of All-On-4 Dental Implants

This treatment offers several major advantages compared to traditional dentures or individual implants:

  • Immediate Results – Many patients can receive a temporary set of fixed teeth the same day as surgery.
  • Stability and Comfort – Because the implants fuse with the jawbone, the restoration feels secure and does not shift.
  • Preservation of Bone Structure – Implants stimulate the jawbone, preventing the bone loss that typically occurs after tooth loss.
  • Improved Confidence – Patients can eat, speak, and smile without worry or embarrassment.
  • Simplified Care – Daily cleaning is similar to caring for natural teeth—brushing, flossing, and routine dental visits.

All-on-4 implants are designed to last for decades with proper care and maintenance. Patients often describe the transformation as life-changing, both functionally and emotionally.

Dental Implant Frequently Asked Questions

How Long Do All-On-4 Dental Implants Last?

With proper care and maintenance, All-On-4 implants can last 20 years or longer. The titanium posts that anchor the teeth are designed to integrate permanently with the jawbone, while the attached prosthetic teeth may eventually need replacement due to normal wear.

What Is The Recovery Time After All-On-4 Surgery?

Most patients experience mild swelling or discomfort for a few days after surgery, which is typically managed with medication and a soft food diet. Within a week, most individuals return to normal daily activities. Complete healing and bone integration take three to six months.

Are All-On-4 Implants Painful?

The procedure is performed under local anesthesia or sedation to ensure comfort. Patients often describe the experience as more comfortable than expected. Any post-surgical soreness is typically temporary and can be well-managed with medication.

Can Someone With Bone Loss Still Get All-On-4 Implants?

Yes. One of the advantages of this system is that it often works for patients who have experienced moderate bone loss. The angled placement of the back implants helps maximize bone support, sometimes eliminating the need for bone grafting.

How Do All-On-4 Implants Compare To Traditional Dentures?

Unlike removable dentures, All-On-4 implants are fixed in place and do not slip or require adhesives. They provide stronger bite force, better speech clarity, and improved comfort. Additionally, they help preserve bone structure and facial shape.

How Should All-On-4 Implants Be Maintained?

Daily brushing, flossing with specialized tools, and regular dental cleanings are essential. Just like natural teeth, implants require consistent care to prevent inflammation or infection of the surrounding gums.

Can The All-On-4 System Be Used On Both The Upper And Lower Jaws?

Yes, it can be used for either arch or both simultaneously. Many patients choose to restore both jaws for complete oral function and a fully balanced bite.

Is The Procedure Covered By Insurance?

Coverage varies by insurance provider and policy. Some plans may contribute to portions of the surgical or prosthetic costs. Financing options are available for those seeking flexible payment arrangements.

Restoring Confidence With All-On-4 Implants

I have seen firsthand how transformative All-On-4 implants can be. Patients often regain the ability to eat foods they had avoided for years and rediscover the confidence to smile freely. Every treatment plan is customized based on bone health, aesthetic goals, and individual needs to ensure lasting, natural-looking results.

At Northwest Dental Group in Arlington Heights, my team and I are dedicated to restoring oral function and confidence through advanced, compassionate care.

Contact our Arlington Heights dental implant dentist at Northwest Dental Group by calling 847-577-4444 to schedule your visit. The clinic proudly serves patients in Arlington Heights, Rolling Meadows, Palatine, Mount Prospect, and Buffalo Grove, Illinois. A new smile—and a stronger, more confident future—can begin today.

author avatar
nwdgrpusr

847-577-4444

NOW ACCEPTING NEW PATIENTS